购物车 0 注 册   |   登 录

学术前沿

 
联系我们

咨询热线:

17715390137

18101240246

18914047343

邮件:mxenes@163.com

扫码关注或微信搜索公众号:

二维材料Fronrier
关注后点击右下角联系我们,

进入企业微信。

专业服务在线

学术前沿
您的位置: 首页 > 学术前沿 > MXene 生物医学

IF:20.8!|PFKM调控骨骼肌分化代谢机制

文章来源:北科纳米专业的纳米材料合成专家 浏览次数:138时间:2026-02-28 设计合成:18101240246

摘要

本研究揭示了骨骼肌谱系中糖酵解关键酶PFKM的时空表达规律,阐明其受信号通路调控的降解机制,以及PFKM介导的代谢重编程对骨骼肌分化进程的直接调控作用,明确区间化代谢在肌细胞命运决定中的关键意义。


研究背景

代谢状态可影响细胞身份的维持与转变,但代谢调控骨骼肌细胞命运的具体分子机制,尚未得到清晰阐释。


主要内容

围绕肌肉干细胞向成熟骨骼肌分化的过程,聚焦PFK1肌肉亚型PFKM,解析其表达动态、上游调控通路,以及PFKM介导的葡萄糖代谢重编程对骨骼肌分化的调控作用。


研究设计

以骨骼肌谱系细胞为研究对象,检测PFKM在分化过程中的表达变化;解析信号通路、蛋白修饰及自噬途径对PFKM的降解调控;通过基因过表达、基因敲低,结合代谢中间产物回补实验,验证PFKM对细胞分化的功能影响。


结果


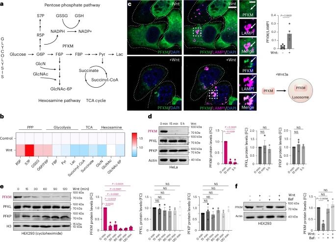
PFKM在肌肉干细胞中低表达,随骨骼肌分化进程表达水平上升;

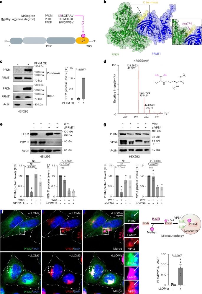
Wnt信号通过PRMT1对PFKM进行选择性甲基化,再经微自噬介导其溶酶体降解;

PFKM降解促使葡萄糖代谢由糖酵解转向戊糖磷酸途径

PFKM过表达可增强糖酵解,推动细胞向终末肌纤维分化;

PFKM敲低会延缓骨骼肌分化,该表型可通过补充糖酵解中间产物得到挽救。


思路延伸


可进一步探索PFKM在骨骼肌发育与稳态维持中的代谢调控功能;

拓展该代谢调控机制在肌肉骨骼系统其他细胞命运决定中的适用性;

深入解析区间化代谢与细胞身份维持之间的内在关联。


原文来源

1. 期刊:Nature Metabolism

2. 发表时间:2026-02-243.

DOI:10.1038/s42255-026-01457-44.

作者:Melissa Campos、Steven T. Nguyen、Xiangduo Kong、Ying Yang等



       北科纳米-学术前沿公众号
二维材料Frontier 生物纳米材料前沿 MXenes Frontier 纳米医学Frontier

 

温馨提示:北京北科新材科技有限供应产品仅用于科研,不能用于人体。部分网站示意图源自互联网,图片仅供参考,请以实际测试结果为准,如有侵权请联系我们立即删除。产品参数仅供参考,请以实际值为准!
版权所有 © 2019 北京北科新材科技有限公司
All rights reserved. 京ICP备16054715号-2
纳米合成
18101240246
电话咨询
17715390137
扫一扫

扫一扫