hotline:
17715390137
Tel/Wechat:
18101240246 (Technology)
0512-68565571
Email:mxenes@163.com (Sales Engineer)bkxc.bonnie@gmail.com
Scan the code to follow or search the official account on WeChat:
2D Materials Fronrier After paying attention,
click on the lower right corner to contact us,
Enter enterprise WeChat.
Professional Services Online
Abstract
This study reveals the spatiotemporal expression patterns of the key glycolytic enzyme PFKM in the skeletal muscle lineage, elucidates the degradation mechanism regulated by signaling pathways, and demonstrates the direct regulatory role of PFKM-mediated metabolic reprogramming in the skeletal muscle differentiation process, highlighting the critical significance of interval metabolism in determining muscle cell fate.
Research Background
Metabolic state can influence the maintenance and transition of cell identity, but the specific molecular mechanisms by which metabolism regulates skeletal muscle cell fate have not yet been clearly elucidated.
Main Content
Focusing on the process of muscle stem cells differentiating into mature skeletal muscle, this work centers on the muscle isoform of PFK1, PFKM, analyzing its expression dynamics, upstream regulatory pathways, and the regulatory role of PFKM-mediated glucose metabolism reprogramming in skeletal muscle differentiation.
Research Design
Using skeletal muscle lineage cells as the research subject, we will examine the expression changes of PFKM during the differentiation process; analyze how signaling pathways, protein modifications, and autophagy pathways regulate the degradation of PFKM; and verify the functional impact of PFKM on cell differentiation through gene overexpression and gene knockdown, combined with experiments supplementing metabolic intermediates.
Results
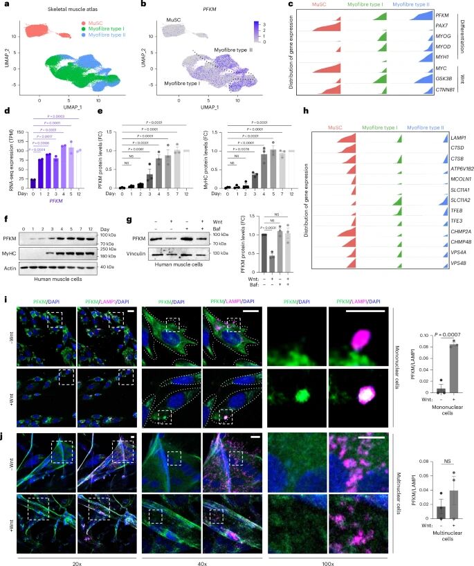
PFKM is expressed at low levels in muscle stem cells, and its expression increases during the progression of skeletal muscle differentiation;
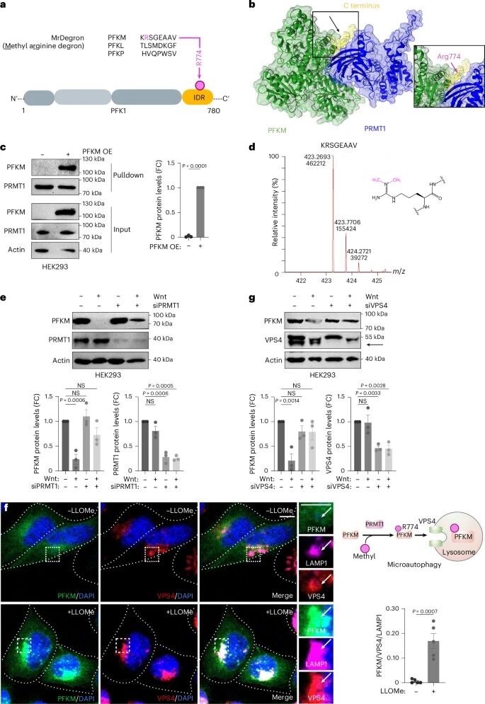
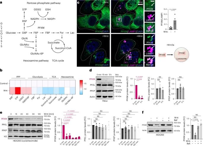
Wnt signaling selectively methylates PFKM via PRMT1, followed by its lysosomal degradation mediated through microautophagy;
PFKM degradation promotes a shift in glucose metabolism from glycolysis to the pentose phosphate pathway;
Overexpression of PFKM enhances glycolysis, driving cells toward terminal myofiber differentiation;
Knockdown of PFKM delays skeletal muscle differentiation, and this phenotype can be rescued by supplementation with glycolytic intermediates.
Idea Extension
Further explore the metabolic regulatory role of PFKM in skeletal muscle development and homeostasis maintenance;
Expand the applicability of this metabolic regulatory mechanism in the fate determination of other cells in the musculoskeletal system;
Deeply analyze the intrinsic connection between interval metabolism and the maintenance of cell identity.
Original Source
1. Journal: Nature Metabolism
2. Publication Date: 2026-02-24
3. DOI: 10.1038/s42255-026-01457-4
Authors: Melissa Campos, Steven T. Nguyen, Xiangduo Kong, Ying Yang, et al.


| Reminder: Beijing Beike New Material Technology Co., Ltd. supplies products only for scientific research, not for humans |
| All rights reserved © 2019 beijing beike new material Technology Co., Ltd 京ICP备16054715-2号 |